¿QUÉ ES EL DESGASTE DENTAL QUÍMICO O EROSIÓN ÁCIDA?
La erosión dental es un problema cada vez más frecuente, especialmente en personas que consumen bebidas ácidas, refrescos, alimentos cítricos o productos con azúcares añadidos. Aunque muchas veces pasa desapercibido, el desgaste dental químico puede comprometer la estética, la sensibilidad e incluso la funcionalidad de tus dientes si no se detecta a tiempo.
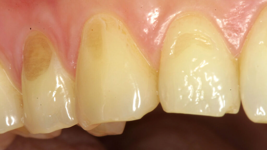
El desgaste dental químico es la pérdida progresiva del esmalte provocada por la acción de ácidos que no proceden de las bacterias de la boca, sino de alimentos, bebidas o incluso del propio organismo (por ejemplo, en casos de reflujo gástrico). A diferencia de la abrasión o el bruxismo, aquí no interviene la fricción mecánica, sino una desmineralización del esmalte causada por el contacto repetido con sustancias ácidas.

Alimentos y bebidas que más contribuyen a la erosión dental
Algunos productos que consumimos a diario pueden favorecer este desgaste sin que nos demos cuenta:
- Refrescos, bebidas energéticas y zumos industriales
- Bebidas isotónicas y deportivas
- Frutas cítricas y sus zumos
- Vinos y vinagres
- Tés y bebidas carbonatadas
- Productos azucarados o con saborizantes ácidos
El pH bajo de estos alimentos reblandece temporalmente el esmalte, haciéndolo más vulnerable a la erosión.
Síntomas que pueden alertarte
Los signos del desgaste químico suelen aparecer de forma progresiva:
- Mayor sensibilidad dental al frío, calor o dulces
- Dientes que se ven más transparentes en los bordes
- Superficie dental más mate, lisa o hundida
- Cambios en el color (apariencia más amarillenta)
- Mayor predisposición a caries
Si notas alguno de estos cambios, conviene hacer una revisión para evaluar el estado del esmalte.
Cómo prevenir el desgaste dental químico
Aunque la erosión no siempre puede revertirse, sí es posible detenerla y evitar que avance con buenos hábitos:
- Limitar bebidas ácidas y evitar tomarlas de forma repetida durante el día
- Beber agua después de consumir alimentos ácidos
- Utilizar pajita para que la bebida no contacte directamente con los dientes
- No cepillarse justo después de consumir ácidos (esperar 30 minutos)
- Usar pasta dental remineralizante con flúor
- Revisiones periódicas para detectar signos tempranos
Tratamientos para recuperar la estética y la salud dental
Cuando el desgaste es notable, se pueden aplicar varias soluciones:
- Barnices de flúor para fortalecer el esmalte
- Reconstrucciones con composite para recuperar volumen y forma
- Carillas o coronas en casos avanzados
- Protección nocturna si se combina con bruxismo
En nuestra clínica dental en Alacá de Henares analizamos cada caso para recomendar la opción más adecuada según el grado de erosión y las necesidades del paciente. En Estudio Dental Melguizo contamos con un equipo de excelentes profesionales dispuestos a resolver todas tus dudas. Contacta con nosotros a través de nuestro formulario web, nuestro teléfono 918 809 991 o enviándonos un mensaje por Whatsapp. ¡Te esperamos!