¿CUÁNDO ES MEJOR UNA INCRUSTACIÓN DENTAL QUE UN EMPASTE?
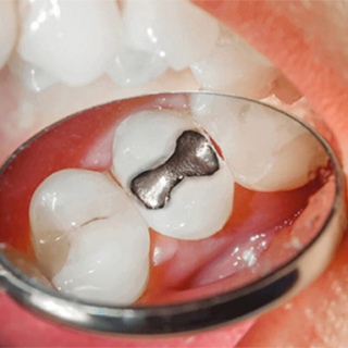
Cuando un diente sufre una caries extensa o una fractura, una de las dudas más frecuentes en consulta es si basta con un empaste o si conviene una solución más...
Cuando un diente sufre una caries extensa o una fractura, una de las dudas más frecuentes en consulta es si basta con un empaste o si conviene una solución más...
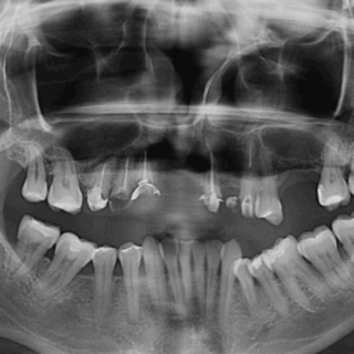
Una fractura dental por debajo de la encía es una de las situaciones más complejas en odontología. Muchos pacientes acuden a consulta pensando que la única solución es extraer el...
La ortodoncia fija es uno de los tratamientos más eficaces para corregir problemas de alineación dental y mordida. Sin embargo, llevar brackets supone un reto añadido para la higiene bucodental,...
A final de año solemos marcarnos propósitos que rara vez cumplimos: hacer más deporte, comer mejor, organizarse más… y también “cuidar más los dientes”. Pero este último suele quedarse en...
Las caries son uno de los problemas dentales más comunes, pero cuando aparecen de forma repetida —incluso después de haber recibido tratamiento— pueden convertirse en una verdadera frustración para el...
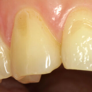
La erosión dental es un problema cada vez más frecuente, especialmente en personas que consumen bebidas ácidas, refrescos, alimentos cítricos o productos con azúcares añadidos. Aunque muchas veces pasa desapercibido,...
Practicar deporte aporta innumerables beneficios, pero también implica riesgos, especialmente para la boca. Los golpes, caídas o contactos inesperados pueden provocar fracturas dentales, cortes en los labios, lesiones mandibulares e...
La pérdida de hueso en el maxilar superior es uno de los principales motivos por los que muchos pacientes creen que no pueden colocarse implantes dentales. Sin embargo, hoy en...
La menopausia implica una disminución de estrógenos que no solo afecta al organismo en general, sino también a la salud bucodental. Estos cambios hormonales modifican el comportamiento de las encías,...
Los dolores de cabeza, cuello y mandíbula son cada vez más comunes en pacientes de todas las edades. A menudo se asocian al estrés o a las malas posturas, pero...