Blog

RESTAURACIONES ANTIGUAS DE METAL: CUÁNDO CONVIENE CAMBIARLAS

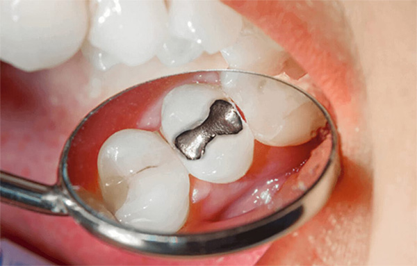
Muchas personas llevan empastes o coronas metálicas desde hace 15 o 20 años… y como no duelen, asumen que están perfectamente bien. Sin embargo, en odontología, que algo “no moleste” no siempre significa que esté en buen estado. Las restauraciones antiguas de amalgama o metal pueden seguir cumpliendo su función durante años, pero también pueden deteriorarse con el tiempo sin dar síntomas evidentes al principio.

¿Qué ocurre con el paso de los años?

Con el uso diario, los materiales sufren desgaste. En el caso de las restauraciones metálicas, pueden aparecer:

  • Microfiltraciones entre el diente y el empaste.
  • Pequeñas fracturas invisibles a simple vista.
  • Pérdida de sellado marginal.
  • Oscurecimiento del diente alrededor de la restauración.

Estas alteraciones pueden favorecer la aparición de caries secundarias bajo el empaste, incluso sin dolor inicial.

Cuando “no duele” pero conviene revisar

Hay situaciones en las que puede ser recomendable valorar el recambio:

1. Restauraciones muy extensas
Los empastes grandes debilitan la estructura dental y aumentan el riesgo de fractura.

2. Bordes deteriorados o filtraciones
Aunque el paciente no lo note, pueden estar acumulando bacterias.

3. Cambio estético
Hoy existen materiales cerámicos y composites que ofrecen un resultado más natural y discreto.

4. Rehabilitación global
En tratamientos de ortodoncia, implantes o estética, puede ser necesario actualizar restauraciones antiguas para garantizar un resultado estable.

¿Siempre hay que cambiarlas?

No. Si la restauración está en buen estado, bien sellada y el diente está sano, no es necesario sustituirla solo por el paso del tiempo.

La decisión debe basarse en una exploración clínica y radiográfica, valorando cada caso de forma individual.

La importancia de la revisión periódica

Muchas complicaciones comienzan de forma silenciosa. Detectar a tiempo una filtración o una caries incipiente puede evitar tratamientos más complejos como endodoncias o coronas.

Si llevas años con restauraciones metálicas y hace tiempo que no las revisas, puede ser buen momento para comprobar su estado. En Melguizo Dental, en Alcalá de Henares, realizamos valoraciones completas para determinar si es conveniente mantenerlas o sustituirlas por materiales más actuales y estéticos. Puedes acercarte a la Calle Tinte 13, comunicarte al  teléfono 918 809 991 o enviarnos un mensaje por whatsapp al 635 305 032. También puedes seguirnos en los perfiles de Instagram Facebook

También te podría gustar...