¿ES NORMAL QUE LAS ENCÍAS CAMBIEN DE COLOR?
El color de las encías es un indicador importante de la salud bucodental. Aunque muchas personas no les prestan atención hasta que aparece una molestia, lo cierto es que observar cambios en su tonalidad puede ofrecer pistas clave sobre posibles problemas o alteraciones. Pero, ¿es normal que las encías cambien de color? La respuesta es: depende.
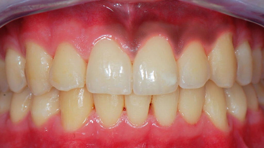
¿Cuál es el color normal de las encías?
En condiciones saludables, las encías suelen presentar un tono rosado claro. Sin embargo, este color puede variar ligeramente según factores como la genética o la pigmentación natural de cada persona. Por ejemplo, algunas personas pueden tener encías más oscuras o con zonas marronáceas sin que ello implique ningún problema de salud.

Cambios de color más habituales y su significado
Cuando el cambio de color no forma parte de la pigmentación natural, puede estar indicando alguna alteración. Estos son los casos más frecuentes:
- Encías rojas o inflamadas: suelen ser un signo de gingivitis, una inflamación causada por la acumulación de placa bacteriana.
- Encías muy pálidas o blanquecinas: pueden relacionarse con anemia o infecciones.
- Encías oscuras o violáceas: en algunos casos pueden estar asociadas a problemas circulatorios o a hábitos como el tabaco.
- Manchas blancas o rojas localizadas: podrían indicar lesiones que requieren revisión profesional.
Identificar estos cambios a tiempo es clave para evitar que evolucionen a problemas más graves.
Factores que pueden influir en el color de las encías
Además de las enfermedades, existen otros factores que pueden alterar el color de las encías:
- Consumo de tabaco
- Cambios hormonales (embarazo, menopausia)
- Toma de determinados medicamentos
- Higiene oral deficiente
- Acumulación de sarro
Estos factores pueden provocar desde inflamación hasta alteraciones más visibles en la pigmentación.
¿Cuándo deberías acudir al dentista?
Es recomendable consultar con un especialista si notas:
- Cambios de color persistentes
- Encías que sangran con facilidad
- Inflamación o dolor
- Retracción de las encías
- Aparición de manchas o lesiones que no desaparecen
Un diagnóstico precoz permite tratar el problema de forma más sencilla y evitar complicaciones como la periodontitis. En nuestra clínica dental en Alcalá de Henares, realizamos un seguimiento personalizado de la salud gingival para detectar cualquier cambio a tiempo y aplicar el tratamiento más adecuado.
Observar tus encías es tan importante como cuidar tus dientes. Si notas cualquier cambio de color, no lo ignores: puede ser la señal de que algo no va bien y actuar a tiempo marcará la diferencia en tu salud bucodental. Puedes contactarte con Melguizo Dental a través de nuestro formulario de contacto o a través de Whatsapp. También puedes pasarte por nuestra clínica dental situada en Calle Tinte, 13 en Alcalá de Henares. Estaremos encantados de ayudarte.